לב שבור זה לא רק ביטוי: כך באמת נראה לב שבור
תסמונת הלב השבור (טקוצובו), ששכיחותה הוכפלה בישראל מאז "חרבות ברזל", גורמת לפגיעה זמנית אך דרמטית בתפקוד הלב לאחר סטרס רגשי עז. החולים מגיעים עם תמונה קלינית זהה להתקף לב, ורק בדיקות מתקדמות חושפות את האמת. מי נמצא בסיכון, ומה עלול לקרות? מומחים מסבירים

ביום האהבה קל לדבר על לבבות שבורים כמטאפורה, אבל ברפואה זו תופעה אמיתית לחלוטין. "תסמונת הלב השבור", או "טקוצובו", היא פגיעה חריפה והפיכה בתפקוד החדר השמאלי של הלב, שמופיעה לאחר סטרס רגשי עז - מאובדן ופרידה ועד בשורה מטלטלת.
המטופלים שמגיעים בטוחים שהם בעיצומו של התקף לב - עם כאב חד בחזה ועליות באק"ג. רק בצנתור מתברר שאין חסימה בעורקים. על פי מחקר שנערך באסותא אשדוד נרשמה עלייה של כמעט פי שניים בשכיחות תסמונת הלב השבור מאז תחילת מלחמת "חרבות ברזל", בהשוואה לתקופה מקבילה בעבר.
ד"ר ג'ומאנה אספניולי אסעד, מומחית בקרדיולוגיה וברפואה פנימית בכללית מחוז חיפה וגליל מערבי, מסבירה כי "התמונה הקלינית של טקוצובו דומה מאוד להתקף לב קלאסי. המטופלים מגיעים עם כאב חד בחזה, לעיתים עם קוצר נשימה ואף איבוד הכרה. באק"ג ניתן לראות עליות במקטע ST בכמחצית מהמקרים, ובבדיקות הדם יש עלייה באנזימי לב - בעיקר טרופונין - ברוב המטופלים".
מבין המטופלים שמגיעים עם חשד לאוטם חריף בשריר הלב, כאחוז אחד עד שלושה אחוזים יאובחנו בסופו של דבר עם טקוצובו. לדבריה, אי אפשר לקבוע שמדובר בטקוצובו על סמך הבדיקות הראשוניות, ולכן כמעט כל מטופל עם תמונה כזו יופנה לצנתור דחוף. "רק לאחר שמדגימים עורקים כליליים תקינים בצנתור, ובשילוב הממצאים באקו לב והסיפור של אירוע סטרס משמעותי סמוך להופעת הכאב - ניתן לקבוע שמדובר בתסמונת הלב השבור".
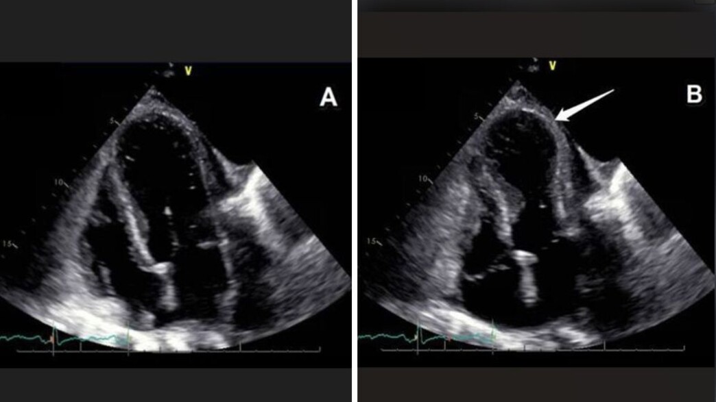
באקו לב ניתן לראות ממצא אופייני: הפרעה בהתכווצות שריר הלב, לרוב באזור חוד הלב, שמקבל צורה של התרחבות - תופעה המכונה Ballooning )כשהבסיס מתכווץ והחוד נשאר רפוי מתקבל מראה של בלון). "זה מראה דרמטי", היא אומרת, "אבל בניגוד להתקף לב אמיתי, כאן אין חסימה בעורקים".

ההסבר, כך על פי ההערכות, קשור להצפה חריגה של הורמוני סטרס - קטכולאמינים כמו אדרנלין - שמשפיעים ישירות על שריר הלב. כמעט תמיד יש סיפור של אירוע סטרסוגני סמוך להופעת התסמינים, ולעיתים גם סטרס פיזי או אירוע נוירולוגי יכולים לשמש טריגר.
ד"ר ישי סקלי, מומחה בקרדיולוגיה וברפואה פנימית ביחידה לטיפול נמרץ לב במרכז הרפואי תל אביב, ופרופ' איתמר רז, מומחה ברפואה פנימית, מציינים כי הקשר בין סטרס נפשי לאירועי לב מוכר היטב בספרות הרפואית, ותסמונת הלב השבור היא אחת הדוגמאות הבולטות להשפעה הישירה של מתח קיצוני על שריר הלב.
קבוצת הסיכון העיקרית היא נשים בגיל המעבר, עם יחס נשים לגברים של 9 ל-1, ורוב המטופלים מעל גיל 50. נוסף לכך, מטופלים עם מחלות נוירולוגיות או הפרעות פסיכיאטריות נמצאים בסיכון גבוה יותר.

למרות התמונה הדרמטית, ברוב המקרים זהו אירוע חולף. "ב-80 עד 90 אחוזים מהמטופלים הלב חוזר לתפקוד מלא תוך ימים עד שבועות", אומרת ד"ר אספניולי אסעד. עם זאת, שיעור התמותה במהלך האשפוז עומד על כ-4 אחוזים, בעיקר על רקע שוק קרדיוגני, קרע בדופן הלב, תסחיף שנגרם מקריש דם באזור הפגוע או הפרעות קצב חדריות. הסיכון להישנות עומד על כ-5 אחוזים בשנה הראשונה, ומחקרים הראו כי טיפול בתרופות ממשפחת מעכבי ACE עשוי להפחית את הסיכון להישנות.
ולמרות השם הרומנטי של התסמונת, המסר שלה חד: "כל כאב בחזה מחייב בדיקה רפואית דחופה - גם אם הוא הופיע לאחר סטרס רגשי. אסור להניח שמדובר רק ב'לב שבור' במובן המטאפורי".