'אוכלת' את כלי הדם: כתם לבן קטן על החך התגלה כפטרייה קטלנית
גבר בן 55 הגיע לחדר המיון במרכז הרפואי צפון עם כאבים עזים בלחי. בבדיקת הרופא התורן נמצא סימן לזיהום פטרייתי אלים במיוחד, וניתוח חירום מורכב הציל את חייו ומנע אסון כבד. "זה היה מרוץ נגד השעון, כל דקה הייתה קריטית"

דרמה רפואית במרכז הרפואי צפון (פוריה) הסתיימה בימים האחרונים בהצלת חיים. גבר בן 55, הסובל מרקע לבבי ומסוכרת בלתי מאוזנת, הגיע לחדר המיון כשהוא במצב כללי ירוד וסובל מכאבים עזים באזור לחי ימין. מה שהתחיל כבדיקה שגרתית של רופא תורן במהלך סוף השבוע, הפך במהרה למבצע רפואי רב-מערכתי להצלת חייו מפני אחד המזהמים האלימים ביותר.
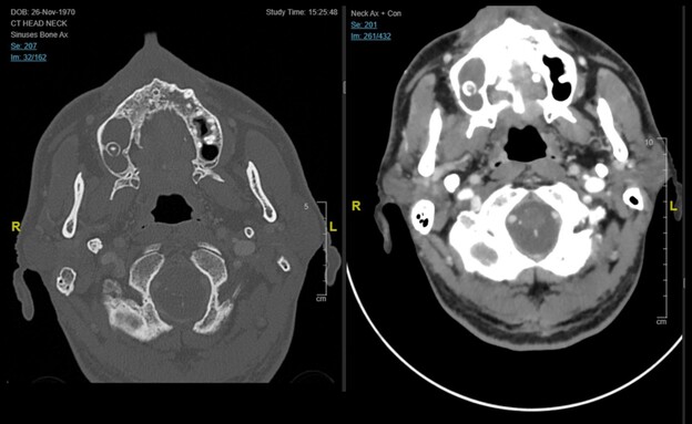
במהלך הבדיקה הבחין ד"ר מעלוף נסים, תורן מחלקת כירורגיה פה, פנים ולסתות, בממצא שנראה לכאורה זניח: כתם לבן-חיוור באזור החך. ד"ר מעלוף זיהה כי מדובר ברקמה נמקית והעלה חשד לזיהום פטרייתי פולשני, מצב חירום רפואי שבו הפטרייה חודרת לכלי הדם ומתפשטת במהירות למוח ולאיברים חיוניים. בתיאום עם הרופא הכונן, נלקחו דגימות דחופות והועברו למעבדה המיקרוביולוגית.

פרופ' אבי פרץ, מנהל מערך אקדמיה, חדשנות ומחקר ומנהל המעבדה למיקרוביולוגיה ומומחה למיקרוביולוגיה קלינית במרכז הרפואי צפון, הוזעק מביתו במהלך סוף השבוע כדי לבחון את הממצאים. "ברגע שקיבלתי את שיחת הטלפון וראיתי את הדגימות, הבנתי שזה מקרה של הצלת חיים במובן הכי מזוקק של המילה", הוא מספר, "זיהינו פטרייה מסוג אספרגילוס, שהיא אנגיו-אינבזיבית. המשמעות היא שהיא 'אוכלת' את כלי הדם וגורמת לנמק נרחב במהירות אדירה. במקרים כאלה, ללא טיפול מיידי ואגרסיבי, אחוזי התמותה גבוהים ביותר. המעבדה התגייסה כולה כדי לספק אבחנה חד-משמעית תוך זמן קצר".
מיד עם קבלת הממצאים הוחל באופן מיידי במתן טיפול אנטי-פטרייתי ייעודי ואגרסיבי כדי לבלום את התפשטות הזיהום והמערכת נכנסה לכוננות שיא. בהמשך, בוצע ניתוח חירום מורכב על ידי ד”ר עבוד מבדא, רופא בכיר במחלקה לכירורגיית פה, פנים ולסתות, שכלל כריתה נרחבת של מחצית מהלסת העליונה והסינוסים, במטרה לעצור את התפשטות הנמק ולהגיע לשוליים בריאים.
"המקרה הזה הוא דוגמה מובהקת לכך שערנות קלינית של רופא במיון יכולה לשנות גורל של אדם", אומר פרופ' עימאד אבו אל נעאג', מנהל המחלקה לכירורגיית פה, פנים ולסתות, "עמדנו בפני דילמה רפואית קשה בגלל הרקע הרפואי המורכב של המטופל, אך היה ברור שהניתוח הוא הסיכוי היחיד שלו. נאלצנו לבצע כריתה נרחבת של מחצית מהלסת העליונה והסינוסים כדי לעצור את התפשטות הנמק ולהגיע לשוליים בריאים. עבודת הצוות בין הכירורגים, המעבדה והמרדימים הייתה הלב הפועם של הצלחת הטיפול הזה".

מסכנת חיים לשיקום
לאחר הניתוח המורכב, הועבר המטופל ליחידה לטיפול נמרץ, שם יוצב מצבו. "אני מודה לצוות המדהים שנלחם עליי," אמר המטופל בהתרגשות, "בזכות המקצועיות והמסירות שלהם, גם ברגעים הכי קריטיים של סוף השבוע, קיבלתי את החיים שלי בחזרה".
כעת, לאחר שחלפה סכנת החיים המיידית, הוא ממשיך בטיפול רב-תחומי במרכז הרפואי צפון. שם מסכמים את האירוע בגאווה: "סימנים קטנים בפה יכולים להעיד על מחלה מסכנת חיים. מקרה זה מדגים באופן חד את חשיבותה של ערנות קלינית, קבלת החלטות מהירה ושיתוף פעולה בין-מערכתי. זהו סיפור של גאווה והצלחה של מערכת שלמה".